Our patient had lost all of his teeth in the back part of the mouth and had severe aesthetic problems in the front area. After replacing Implants to the back part of the mouth we have applied zirconium porcelains to the front part and our patient has a holywood style smile now.



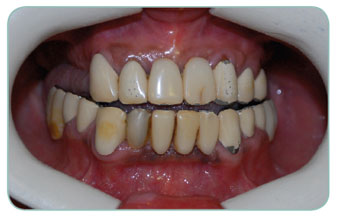
Our patient had severe problems and he was about to loose all of his teeths in the following one or two years. We have extracted all teeth and replaced 7 Implants per upper and lower part of the mouth and after one and a half months healing period, we have replaced the fixed porcelain prosthetics. During the healing period our patient was able to continue his normal life through the temporary prosthetis that we applied. Total treatment period was only three and half a months!



Our patient had lost all of her teeth a long time ago and was using unfixed crowns. She was not happy to clean her crowns every evening and she was missing to eat an apple. We have applied six Implants per upper and lower mouth and she is able to eat whatever she wants now. Total treatment period was only three months!



Our patient had severe problems in her teeth. After replacing 6 Implants fixed prosthesis was applied and she has a very beatiful smile now. Total treatment period was only three and a half months!



We have extracted all teeth and replaced 7 Implants per upper and lower part of the mouth and after a one and half month healing period we have replaced the fixed porcelain prosthetics. During the healing period our patient was able to continue her normal life through the temporary prosthetis that we had applied. Total treatment period was only four months.



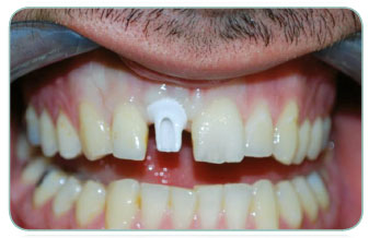
On the back of a trauma our patient had lost his up front teeth. We have applied one Implant together with a zirconium porcelain.



















On the back of a trauma our patient had lost his up front teeth. We have applied one Implant together with a zirconium porcelain.



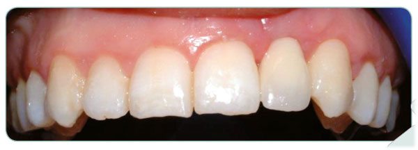
Our patient has now a hollywood stile smile after application of teeth whitening and four composit laminate veneers to fill the gaps between her teeth life through the temporary prosthetis that we had applied. Total treatment period was only four months.


Our patient was using bridge crowns and was not happy of the colour of her teeth. We have replaced all of her teeth with zirconium porcelains and she can smile now in confidence.



Our patient has now a hollywood stile smile after application of teeth whitening and four composit laminate veneers to fill the gaps between her teeth. During the treatment none of the teeth got a single damage.



Front part teeth of our patient was short when compared with the others and she was not happy from them. Through composite laminates we managed to fixed the short teeths inline with others.


Front part teeth of our patient was short when compared with the others and she was not happy from them. Through composite laminates we managed to fix the short teeths inline with the others.





